به کلینیک ما تو قلب جردن، شمال تهران، خوش اومدین! اینجا گالری خدمات دندانپزشکی در جردن رو میبینید، از جمله نمونه کار ایمپلنت دندان در جردن، نمونه کار لمینت دندان در جردن تهران، قبل و بعد ارتودنسی در جردن، و نمونه کار بلیچینگ دندان در جردن. ما با تیم حرفه ای و دستگاههای به روز، لبخندی طبیعی و جذاب برای شما خلق میکنیم. نمونه کار دندانپزشکی زیبایی جردن، نتایج عصبکشی و ترمیم دندان در جردن، و گالری عکس ایمپلنت در جردن تهران کیفیت کارمون رو نشون میده. تو کلینیک ما، هر بیمار داستان خاص خودش رو داره، از یه لبخند درخشان با عکس لمینت دندان طبیعی در جردن تا دندونای مقاوم با عکس ایمپلنت دندان جردن با نمونه واقعی. نمونه طراحی لبخند جردن قبل و بعد و عکس قبل و بعد دندان جردن تهران تعهد ما به کیفیت رو ثابت میکنه. ما تو جردن منتظرتونیم تا با بهترین خدمات، لبخندی بینقص داشته باشین!
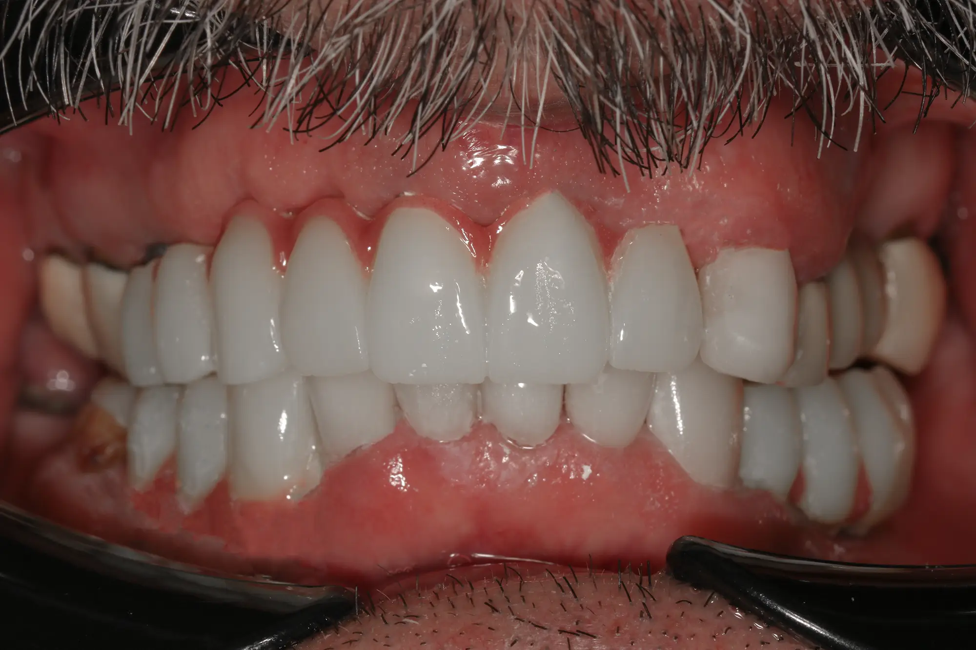
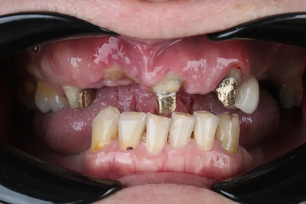
نمونه کار ایمپلنت دندان در جردن
یکی از مراجعین با مشکل از دست دادن دو دندون تو فک بالا به ما اومد. دندوناش به خاطر ضربه آسیب دیده بود و نمیتونست راحت غذا بخوره یا با اعتماد به نفس لبخند بزنه. تو نمونه کار ایمپلنت دندان در جردن، ما با دقت ایمپلنت با پایه تیتانیوم رو تو یه جلسه کاشتیم. فرآیند کاشت تا نصب تاج دندون حدود ۳ ماه طول کشید. تیم ما هر مرحله رو با دقت انجام داد تا نتیجه کاملاً طبیعی باشه. حالا بیمار یه لبخند محکم و زیبا داره که هم کارایی دندوناشو برگردونده و هم اعتماد به نفسش رو بالا برده. این نمونه کار نشون میده که چرا گالری خدمات دندانپزشکی در جردن ما پر از نتایج موفقه. بیمار از کیفیت کار و راحتی فرآیند خیلی راضی بود و حالا با خیال راحت تو جمع لبخند میزنه.
نمونه کار لمینت دندان در جردن تهران
یه بیمار با دندونای زرد و کمی نامرتب به کلینیک اومد. ظاهر دندوناش باعث شده بود تو موقعیتهای اجتماعی راحت لبخند نزنه. تو نمونه کار لمینت دندان در جردن تهران، ما لمینت سرامیکی رو پیشنهاد کردیم که هم مقاومه و هم طبیعی. تو دو جلسه، لمینتها طراحی و نصب شدن. کل فرآیند یه هفته طول کشید و نتیجه یه لبخند درخشان و کاملاً طبیعی بود. بیمار حالا با اعتماد به نفس لبخند میزنه و از عکس لمینت دندان طبیعی در جردن خیلی راضیه. این کار نشوندهنده تعهد ما به خلق لبخندای زیباست. تیم ما با مشاوره دقیق، بیمار رو از همه مراحل آگاه کرد تا خیالش راحت باشه.
قبل و بعد ارتودنسی در جردن
بیماری با نامرتبی شدید دندونای جلویی به ما مراجعه کرد. دندوناش شلوغ و کج بود و نمیتونست راحت غذا بجوه یا با خیال راحت لبخند بزنه. تو قبل و بعد ارتودنسی در جردن، ما ارتودنسی نامرئی رو براش انتخاب کردیم که هم زیباست و هم استفادهش راحته. فرآیند تو ۱۲ ماه کامل شد و دندوناش حالا مرتب و یه دستن. نتیجه یه لبخند قشنگ و کاربردیه که هم ظاهرش رو بهتر کرده و هم کیفیت زندگیش رو بالا برده. این نمونه کار نشون میده که چطور تو کلینیک ما تو جردن، لبخندای زیبا خلق میکنیم. بیمار از راحتی ارتودنسی و پشتیبانی تیم خیلی راضی بود.
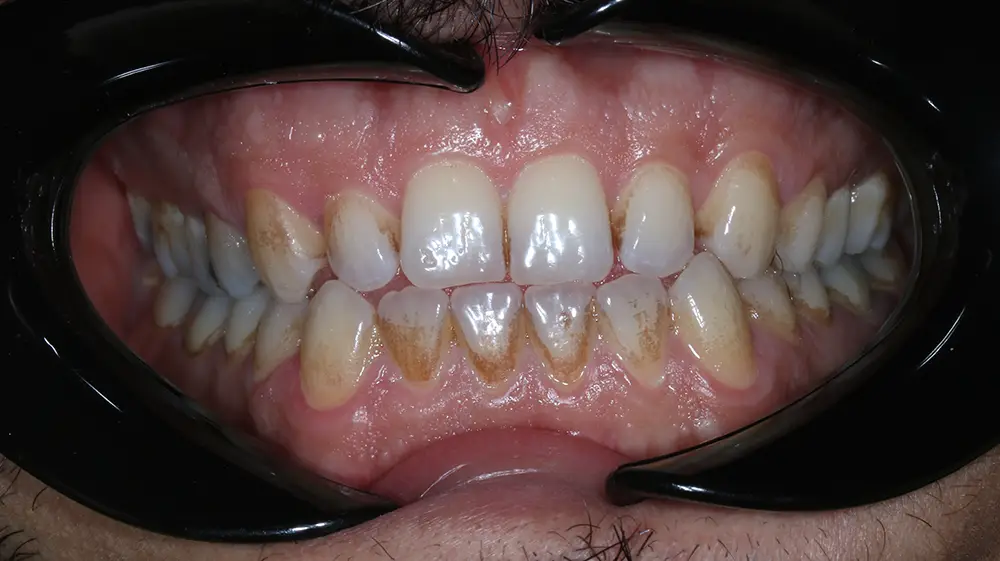
نمونه کار بلیچینگ دندان در جردن
یه بیمار با دندونای تیره و لکدار به ما اومد. میخواست لبخندش سفیدتر بشه، ولی نگران بود مواد شیمیایی به دندوناش آسیب بزنه. تو نمونه کار بلیچینگ دندان در جردن، ما بلیچینگ حرفهای با مواد ایمن رو تو یه جلسه یک ساعته انجام دادیم. دندوناش چند درجه روشنتر شد و حالا لبخندش درخشان و جذابه. بیمار از سرعت و کیفیت کار شگفتزده شد. این کار بخشی از گالری خدمات دندانپزشکی در جردن ماست که کیفیت و رضایت بیمار رو تضمین میکنه. ما همیشه تلاش میکنیم تجربهای راحت و مطمئن برای بیمارا فراهم کنیم.
گالری عکس ایمپلنت در جردن تهران
بیماری با چند دندون از دست رفته تو فک پایین به کلینیک اومد. مشکلش باعث سختی تو غذا خوردن و کاهش اعتماد به نفسش شده بود. تو گالری عکس ایمپلنت در جردن تهران، ما ایمپلنتهای چندگانه رو تو ۴ ماه تکمیل کردیم. هر مرحله با دقت و با مواد باکیفیت انجام شد. نتیجه یه لبخند مقاوم و طبیعی بود که بیمار رو حسابی راضی کرد. حالا با خیال راحت غذا میخوره و لبخند میزنه. این نمونه کار نشوندهنده تخصص ما تو ایمپلنت دندان جردنه که با دقت و حرفهایگری انجام میشه.
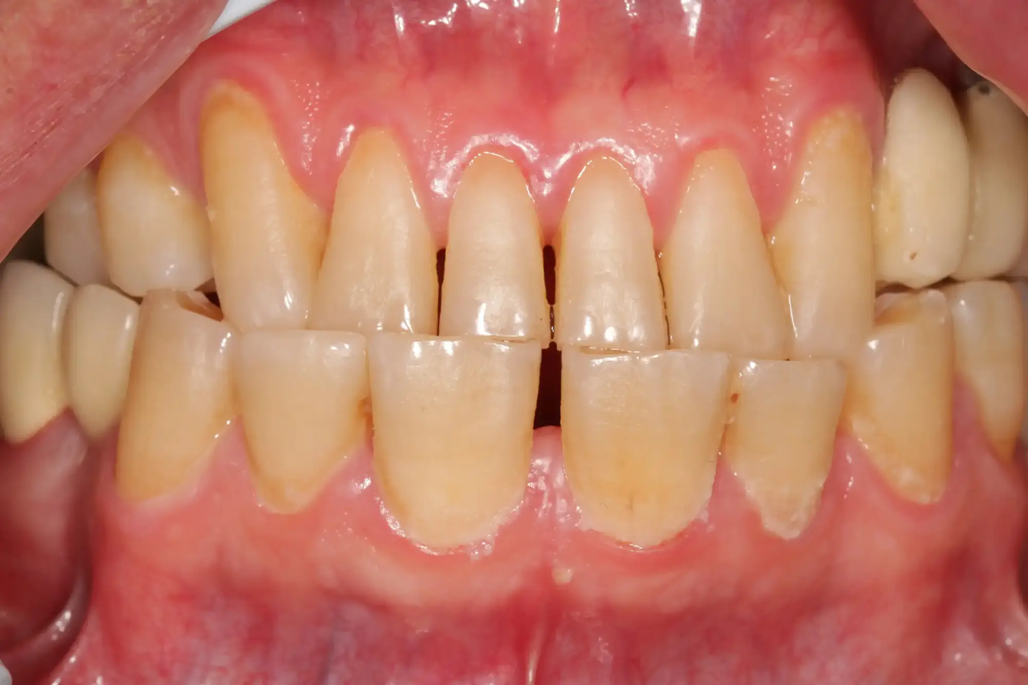
نتایج عصب کشی و ترمیم دندان در جردن
یه بیمار با درد شدید ریشه به کلینیک اومد. نمیتونست چیزی بخوره و خیلی اذیت بود. تو نتایج عصبکشی و ترمیم دندان در جردن، ما عصبکشی رو تو یه جلسه انجام دادیم و دندون رو با مواد باکیفیت ترمیم کردیم. فرآیند سریع و بدون درد بود. حالا بیمار بدون درد و با یه دندون سالم لبخند میزنه. این کار نشون میده که چطور تو کلینیک ما راحتی بیمار اولویت داره. بیمار از سرعت عمل و حرفهایگری تیم خیلی راضی بود و حالا با خیال راحت از دندوناش استفاده میکنه.
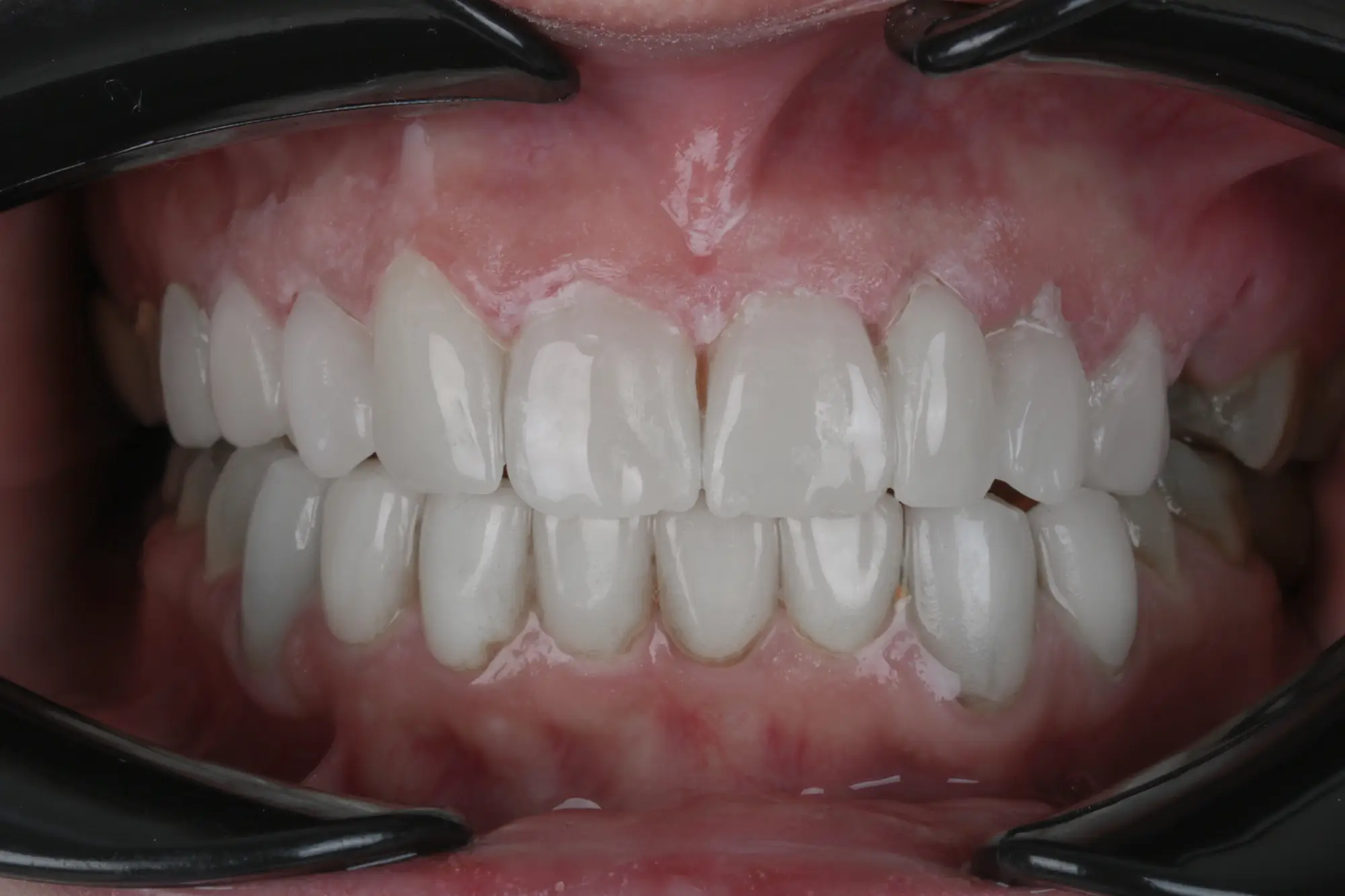
نمونه کار دندانپزشکی زیبایی جردن
بیماری با دندونای کج و تیره به ما اومد. میخواست لبخندش برای یه موقعیت شغلی مهم جذابتر بشه. تو نمونه کار دندانپزشکی زیبایی جردن، ما ترکیب لمینت و طراحی لبخند رو تو ۲ هفته انجام دادیم. لمینتها با دقت طراحی شدن تا کاملاً طبیعی باشن. نتیجه یه لبخند درخشان بود که اعتماد به نفسش رو چند برابر کرد. نمونه طراحی لبخند جردن قبل و بعد کیفیت کارمون رو نشون میده. بیمار از مشاوره دقیق و نتیجه نهایی خیلی خوشش اومد.
چرا به کلینیک ما تو جردن اعتماد کنین؟
بیمارای شمال تهران، به خصوص جردن، به خاطر تخصص و دستگاههای به روز به ما اعتماد دارن. نمونه کار ایمپلنت دندان در جردن و نمونه کار لمینت دندان در جردن تهران نشوندهنده مهارت تیم ماست. ما تو کلینیک دندانپزشکی در جردن با تجربه جهانی، نتایجی ماندگار خلق میکنیم. عکس قبل و بعد لمینت و ایمپلنت جردن و نمونه طراحی لبخند جردن قبل و بعد گواه کیفیت ماست. برای دیدن جزئیات بیشتر درباره خدمات و نمونه کارای ما، به وبسایت دکتر مهماندوست سر بزنید و با کارای ما آشنا بشین.
گالری خدمات دندانپزشکی در جردن و عکس قبل و بعد دندان جردن تهران تعهد ما به رضایت بیمار رو نشون میده. تیم حرفه ای ما با دقت و ظرافت کار میکنه تا هر بیمار با لبخندی زیبا کلینیک رو ترک کنه. برای آشنایی با تیم و تخصص ما، به صفحه درباره ما سر بزنید و ببینید چرا بیمارا ما رو انتخاب میکنن.
اگه دنبال بهترین تجربه دندانپزشکی تو جردن هستید، ما اینجاییم تا به شما کمک کنیم. برای رزرو نوبت یا مشاوره، کافیه به صفحه تماس با ما سر بزنید و با ما در ارتباط باشین. تیم ما آمادهست تا تجربهای بینظیر براتون بسازه!
برای مشاوره و رزرو نوبت تو کلینیک دندانپزشکی جردن، همین حالا تماس بگیرین یا از فرم آنلاین استفاده کنین! تماس با ما


